-
日期:2017-12-09
-
来源:本站
-
点击:1859
你知道吗,如果长时间缺牙又不去修补,会让口腔牙龈发生很大的变化。而且,后期想要修复会更加麻烦,花费的钱也会更加的多。
也许您并不愿意相信少一颗牙就会有这么严重的后果,但专业医生表示,“缺牙”确实严重影响着我们的日常生活,潜移默化地“侵蚀”身体的健康。
长期缺牙危害知多少
①连累健康牙齿:长期缺牙不补,旁边的健康牙会失去依靠,开始慢慢向空缺处倾斜,对颌的牙齿开始伸长,最后一起“下岗”。
②影响脸型:缺牙后,因长期缺乏咬合对象,导致咬合紊乱,时间一久可能会导致面部不对称。若牙齿缺失较多,面部失去牙齿支撑,脸颊凹陷,皱纹增多,40岁的你呈现60岁的容貌。

③引起蛀牙、口臭、牙周病等疾病:由于长时间牙齿缺失,导致牙齿缝隙越来越大,食物残渣更容易堆积滋生口腔细菌。最后出现蛀牙,口臭,牙周病。

④影响咀嚼消化功能,吃饭吃不香:如果爸妈缺牙了,吃饭不方便,也不会直接对你说的,怕你费钱。
⑤说话可能会变得含混不清:缺牙后牙床形成空缺,会影响唇齿音和齿音的发出,导致说话漏风。
缺牙修复要趁早
目前常见的缺牙修复方式有3种,分布是活动假牙,烤瓷牙和种植牙。他们的优缺点如下:
①活动假牙
优点:价格便宜,适用范围广。
缺点:活动假牙有一个托,尤其是当缺牙较多时,托会比较大,甚至是满膛的,另外还有卡环(钩子),当然会不舒适。这种修复方式时间久了可能会引起牙龈萎缩。我们经常在新闻当中看到「老人误吞假牙」等报道,这也是传统活动假牙引起的。
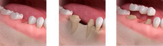
②烤瓷牙
优点:最介于活动假牙和种植牙之间,咀嚼力较强,美观度较高。
缺点:如果你的牙冠不能用,牙根还能用的话,可以考虑做烤瓷牙,只要在牙根上安装烤瓷牙戴上即可,但是这种修复方式需要磨除两边的健康牙来做搭桥,是一种不可逆的破坏性修复。

②种植牙
优点:最接近天然牙的功能、结构,美观效果也好,不需要磨两侧的健康牙;种植牙位置稳定不怕突然脱落,咀嚼体验好;使用年限可长达好几十年;
缺点:没有优惠的情况下实在是……贵。
所以,从长远来看,种植牙比活动假牙、烤瓷牙性价比更高,修复效果更好,不失为一个一劳永逸的解决办法,如果经济条件允许,可以考虑考虑。
希望大家能够多多重视牙齿健康,吃嘛嘛香!

